12 w - Translate

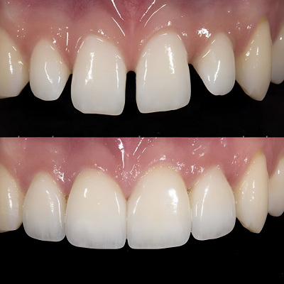
Transform Minor Smile Flaws with Dental Bonding.

A healthy, attractive smile can boost confidence and improve daily interactions. For patients looking for a quick cosmetic fix without complex dental procedures, Dental Bonding in Islamabad
is a highly effective choice. This treatment is widely preferred by individuals in Islamabad who want visible results with minimal time, cost, and discomfort.

https://dentalclinicislamabad.com/dental-bonding/

Dental Bonding in Islamabad, Pakistan
dentalclinicislamabad.com

Dental Bonding in Islamabad, Pakistan

Considering dental bonding in Islamabad ? Learn about the procedure, cost, benefits, and why Dental Clinic Islamabad is best for natural smile repairs.
advertisement